Beispiel Nr. 1 (Kindbehandlung wegen Platzmangel für die oberen Eckzähnen, mit herausnehmbarem Gerät und fester Spange)

Case Nr. 1(Child with crowding and limited space for the erruption of the upper canines, treated with a headgear appliance and braces)

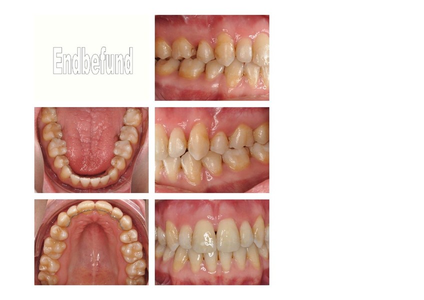
Beispiel Nr. 2 (Kombiniert kieferorthopädisch- kieferchirurgisch behandelter Erwachsene mit frontal offenem Biß)

Case Nr. 2 (combination of orthodontic and surgical treatment of an adult with an open bite).