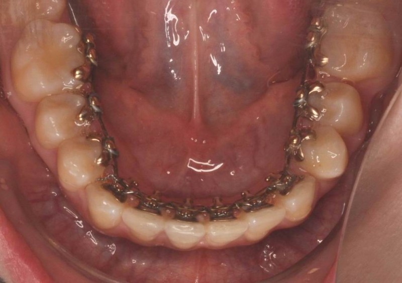
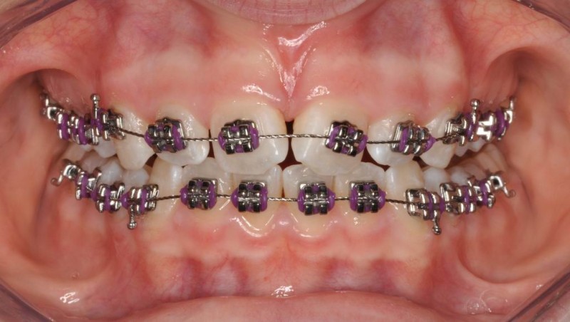
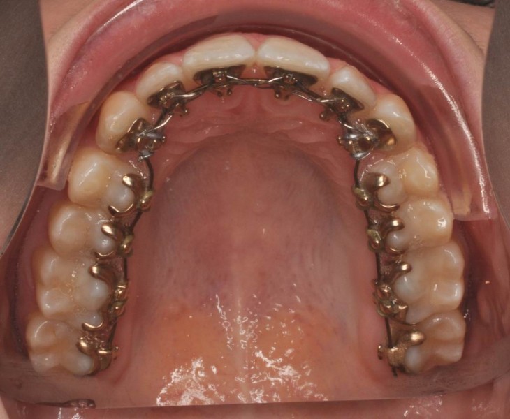
Eine festsitzende Spange oder Multibracket Apparatur besteht aus einzelnen Brackets, die auf die Zahnoberfläche geklebt werden und aus Drähten/Bögen, die durch den Slot des Brackets laufen. Die Drähte werden durch Alastics (Gummis in verschiedenen Farben wie bunt, durchsichtig, silber usw.) befestigt.

Es gibt verschieden Sorten von Brackets, wie zum Beispiel die am häufigsten benutzten Metallbrackets, die ästhethischer und weniger sichtbare Keramikbrackets und die Lingualbrackets, die auf der Innenseite des Zahnes befestigt werden.

Die 'feste' Spange wird in den meisten Fälle erst geklebt, wenn alle bleibende Zähne durchgebrochen sind.

Ob die Therapie direkt mit einer Multibracket Apparatur beginnen kann oder ob erst eine lose Spange erforderlich ist, wird individuell entschieden.